Πως να κάνετε το κινητό τηλέφωνο ισχυρό μικροσκόπιο

iphone1Στο διαδίκτυο κυκλοφορούν πολλά άρθρα και βίντεο που μας δείχνουν πως να μετετρέψουμε ένα smartphone ισχυρό μικροσκόπιο. Κάποιοι πήραν το θέμα πολύ σοβαρότερα και το μελέτησαν επιστημονικά. Έτσι, δημιούργησαν έναν φθηνό εύκαμπτο, πλαστικό φακό, που απλά εφαρμόζει πάνω στην κάμερα του κινητού και μεγεθύνει την εικόνα κατά 120 φορές, όσο ένα επαγγελματικό οπτικό μικροσκόπιο.

«Ο φακός μας μπορεί να μετατρέψει την κάμερα του smartphone σε μικροσκόπιο απλά κολλώντας τον φακό χωρίς μηχανισμό στήριξης» γράφουν ερευνητές του Πανεπιστημίου του Χιούστον παρουσιάζοντας την εφεύρεσή τους στην επιθεώρηση Journal of Biomedical Optics.

O ερευνητής Γιου-Λουνγκ Σουνγκ δημιούργησε το φακό σχεδόν τυχαία καθώς πειραματιζόταν με το υλικό PDMS (πολυδιμεθυλοσιλοξάνη), ένα παχύρρευστο πολυμερές σαν μέλι. Ο Σουνγκ παρατήρησε ότι το PDMS στερεοποιείται όταν πέσει σε θερμές επιφάνειες και παίρνει εύκολα σχήμα φακού.

Ρυθμίζοντας την καμπυλότητα του θερμαινόμενου «καλουπιού» για την στερεοποίηση του πολυμερούς, η ερευνητική ομάδα δημιούργησε φακούς που μπορούν να διακρίνουν αντικείμενα πλάτους ενός μικρομέτρου σε μεγέθυνση 120X.

Το PDMS έχει την ιδιότητα να κολλάει εύκολα στο γυαλί, οπότε το μόνο που χρειάζεται να κάνει κανείς για να συνδέσει τον φακό στο κινητό είναι να τοn πιέσει πάνω στον ενσωματωμένο φακό της κάμερας.

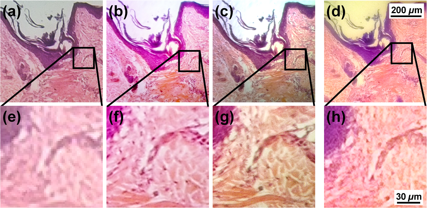
Σε μια επίδειξη των δυνατοτήτων του ελαστικού φακού, οι ερευνητές παρουσιάζουν φωτογραφίες μιας ιστολογικής πλάκας με ανθρώπινα τριχοθυλάκια, οι οποίες είναι συγκρίσιμες με τις εικόνες που έδωσε ένα επαγγελματικό μικροσκόπιο Olympus IX-70 με μεγέθυνση 100Χ.

Στις εικόνες a έως c, ανθρώπινα τριχοθυλάκια όπως φαίνονται σε επαγγελματικό μικροσκόπιο Olympus. Στο d, η αντίστοιχη εικόνα με τον νέο πλαστικό φακό (Πηγή: University of Houston)

Στις εικόνες a έως c, ανθρώπινα τριχοθυλάκια όπως φαίνονται σε επαγγελματικό μικροσκόπιο Olympus. Στο d, η αντίστοιχη εικόνα με τον νέο πλαστικό φακό (Πηγή: University of Houston)

«Το έβαλα στο κινητό μου και δούλεψε» καμαρώνει ο Σουνγκ, ο οποίος χρησιμοποιεί ένα Nokia Lumia 520. Δεδομένου ότι το κόστος του φακού δεν υπερβαίνει τα τρία λεπτά του ευρώ, το αυτοσχέδιο μικροσκόπιο κόστισε μόλις 20 δολάρια. Συγκριτικά, ένα οπτικό μικροσκόπιο ερευνητικής κλάσης κοστίζει γύρω στα 10.000 δολάρια, επισημαίνουν οι ερευνητές.

Ο νέος φακός, εκτιμούν, θα μπορούσε να χρησιμοποιηθεί για εκπαιδευτικούς λόγους σε σχολεία και πανεπιστήμια, ή ακόμα και σε μικρές, απομονωμένες κλινικές.

Θα μπορούσε όμως να γίνει και στάνταρτ αξεσουάρ της επόμενης γενιάς κινητών, επιτρέποντας στους χρήστες να θαυμάζουν τα ακάρεα και άλλους μικροσκοπικούς ενοίκους του ανθρώπινου δέρματος.

Πηγές: http://news.in.gr/science-technology/article/?aid=1231405205http://www.sciencedaily.com/releases/2015/05/150504113004.htm



Κατηγορίες:ΤΕΧΝΟΛΟΓΙΑ

Ετικέτες: ,

Σχολιάστε

Ο ιστότοπος χρησιμοποιεί το Akismet για την εξάλειψη των ανεπιθύμητων σχολίων. Μάθετε πως επεξεργάζονται τα δεδομένα των σχολίων σας.