
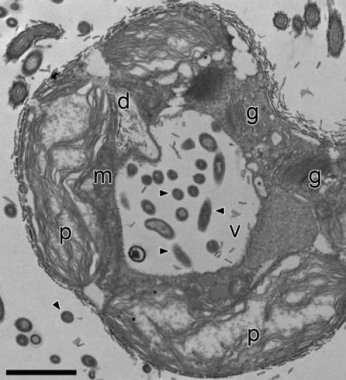
Το μονοκύτταρο φύκος Cymbomonas φέρει ένα άνοιγμα σαν στόμα (d) μέσω του οποίου καταπίνει βακτήρια (v)
H ανακάλυψη ενός μονοκύτταρου φύκους που καταπίνει ολόκληρα βακτήρια προσφέρει νέα στήριξη στην κρατούσα θεωρία για το πώς εμφανίστηκε η φωτοσύνθεση πριν από ένα δισεκατομμύριο και πλέον χρόνια.
Οι βιολόγοι υποψιάζονται εδώ και καιρό ότι οι πρώτοι οργανισμοί που εξέλιξαν τη λειτουργία της φωτοσύνθεσης δεν ήταν φυτά, αλλά βακτήρια, τα οποία μάλιστα συνεχίζουν να υπάρχουν ακόμα και σήμερα.
Και, σύμφωνα με την κρατούσα άποψη, οι πρόγονοι των φυτών ουσιαστικά υπέκλεψαν την τεχνογνωσία της φωτοσύνθεσης από αυτά τα βακτήρια. Αυτό συνέβη όταν οι πρόγονοι των μονοκύτταρων φυκών απορρόφησαν και ενσωμάτωσαν ζωντανά φωτοσυνθετικά βακτήρια στο εσωτερικό τους. Η παράξενη αυτή συμβίωση συνεχίστηκε μέχρι που τα έγκλειστα βακτήρια εκφυλίστηκαν και μετατράπηκαν σε χλωροπλάστες, τα οργανίδια των φυτικών κυττάρων στα οποία συμβαίνει η φωτοσύνθεση.

Τα κύτταρα των φύλλων περιέχουν φωτοσυνθετικά οργανίδια που ονομάζονται χλωροπλάστες. Τα εργοστάσια αυτά δεν αποκλείεται να είναι ό,τι απέμεινε από ζωντανά συμβιωτικά βακτήρια.
Η νέα μελέτη, η οποία δημοσιεύεται στην έγκριτη επιθεώρηση Current Biology, προσφέρει για πρώτη φορά άμεσες ενδείξεις για το πώς οι πρόγονοι των φυτών κατάπιαν τα φωτοσυνθετικά βακτήρια.
Οι ερευνητές του Αμερικανικού Μουσείου Φυσικής Ιστορίας ανακάλυψαν ένα μονοκύτταρο φύκος του γένους Cymbomonas που καταβροχθίζει βακτήρια. Σε εικόνες ηλεκτρονικού μικροσκοπίου διέλευσης, το μικροσκοπικό φύκι διακρίνεται να τραβά τη λεία του σε ένα άνοιγμα που μοιάζει με στόμα, να την καταπίνει και να την χωνεύει μέσα σε ένα χυμοτόπιο, ένα οργανίδιο που περιέχει πεπτικά ένζυμα.
Η ανακάλυψη δείχνει ότι ορισμένα σημερινά φύκη διατηρούν την ικανότητα των προγόνων τους να απορροφούν βακτήρια, επισημαίνουν οι ερευνητές. Η αλήθεια βέβαια είναι ότι τα φύκη Cymbomonas ουσιαστικά χωνεύουν τα βακτήρια αυτά και δεν τα αφήνουν να επιζήσουν στο εσωτερικό τους.
Δεν αποκλείεται όμως ότι κάτι τέτοιο συνέβαινε και πριν από ένα δισεκατομμύριο χρόνια, μέχρι που κάποιος πρόγονος των φυτών ξέχασε να χωνέψει τη λεία του και την άφησε να φωτοσυνθέτει μέσα του.
Όπως εκτιμά η ερευνητική ομάδα, «τα αποτελέσματα της μελέτης προσφέρουν σημαντικές ενδείξεις για ένα εξελικτικό συμβάν που άλλαξε ουσιαστικά την πορεία της εξέλιξης».
Newsroom ΔΟΛ – www.sciencedaily.com
Κατηγορίες:ΒΙΟΛΟΓΙΑ
Σχολιάστε